×
Close
Sign Up
Login
Home
SCI Abstract
Library D
Events & Partner
WeMed
MDLA Events Platform
Events
Media Partners
Educational Partner
User Tools
FAQ/USER GUIDE
Language
English
中文/ Chinese
French
Português
Español
Arabic
Russian
Contact Us
×
Close
mdla_1
mdla_2
mdla_3
mdla_4
mdla_5
mdla_6
Categories
Neurosciences
39743
Global Medical University
5113
Allergy
1792
Anatomy & Morphology
1583
Andrology
379
Anesthesia & Intensive Care
1297
Anesthesiology
5393
Audiology & Speech-Language Pathology
347
Behavioral Sciences
105
Biochemical Research Methods
7207
Biochemistry & Molecular Biology
29988
Biodiversity Conservation
330
Biology
8477
Biophysics
8244
Biotechnology & Applied Microbiology
8624
Cardiac & Cardiovascular Systems
31014
Cardiovascular & Respiratory Systems
1401
Cell & Tissue Engineering
702
Cell Biology
11166
Chemistry, Analytical
4290
Chemistry, Applied
10894
Chemistry, Medicinal
8726
Chemistry, Multidisciplinary
18475
Clinical Immunology & Infectious Disease
405
Clinical Medicine
8968
Clinical Neurology
16543
Clinical Psychology & Psychiatry
1284
Critical Care Medicine
3139
Dentistry, Oral Surgery & Medicine
13493
Dermatology
7478
Developmental Biology
6958
Ecology
631
Education, Scientific Disciplines
2036
Emergency Medicine
4119
Endocrinology, Metabolism & Nutrition
24525
Engineering, Biomedical
3711
Entomology
488
Environmental Medicine & Public Health
4661
Evolutionary Biology
275
Gastroenterology & Hepatology
12190
General & Internal Medicine
6958
Genetics & Heredity
15129
Geriatrics & Gerontology
5074
Gerontology
378
Health Care Sciences & Services
16142
Health Policy & Services
600
Hematology
5565
Immunology
24736
Infectious Diseases
13938
Integrative & Complementary Medicine
2926
Medical Ethics
1239
Medical Informatics
2237
Medical Laboratory Technology
419
Medicine, General & Internal
44287
Medicine, Legal
532
Medicine, Research & Experimental
17718
Microbiology
23280
Mycology
0
Nanoscience & Nanotechnology
5365
Neuroimaging
1369
Neurology
4554
Nursing
9790
Nutrition & Dietetics
7828
Obstetrics & Gynecology
8253
Oncology
52321
Ophthalmology
9715
Optics
4285
Orthopedics
11761
Orthopedics, Rehabilitation & Sports Medicine
1807
Otolaryngology
1582
Otorhinolaryngology
4881
Parasitology
1158
Pathology
5150
Pediatrics
21511
Peripheral Vascular Disease
4782
Pharmacology & Pharmacy
35399
Pharmacology/Toxicology
12182
Physiology
8880
Polymer Science
550
Primary Health Care
836
Psychiatry
19052
Psychology
5236
Psychology, Applied
111
Psychology, Biological
389
Psychology, Clinical
806
Psychology, Developmental
272
Psychology, Educational
164
Psychology, Experimental
188
Psychology, Mathematical
0
Psychology, Multidisciplinary
1686
Psychology, Psychoanalysis
30
Psychology, Social
131
Public Health & Health Care Science
2222
Public, Environmental & Occupational Health
27224
Quantum Science & Technology
0
Radiology, Nuclear Medicine & Imaging
12430
Radiology, Nuclear Medicine & Medical Imaging
8230
Rehabilitation
3049
Remote Sensing
0
Reproductive Biology
2882
Reproductive Medicine
1208
Research/Laboratory Medicine & Medical Technology
4018
Respiratory System
7402
Rheumatology
6028
Social Sciences, Biomedical
1168
Substance Abuse
2765
Surgery
33765
Toxicology
4433
Transplantation
938
Tropical Medicine
300
Urology & Nephrology
12862
Veterinary Sciences
35
Virology
2548
Zoology
0
Channels
JOURNAL OF MOLECULAR NEUROSCIENCE
392
BRAIN RESEARCH BULLETIN
0
CELLULAR AND MOLECULAR NEUROBIOLOGY
484
CEREBELLUM
400
CLINICAL NEUROPHYSIOLOGY
0
COGNITIVE COMPUTATION
421
COGNITIVE NEURODYNAMICS
400
CORTEX
595
CURRENT OPINION IN BEHAVIORAL SCIENCES
235
EUROPEAN JOURNAL OF NEUROLOGY
383
EXPERIMENTAL NEUROLOGY
675
FRONTIERS IN AGING NEUROSCIENCE
2710
FRONTIERS IN BEHAVIORAL NEUROSCIENCE
986
FRONTIERS IN CELLULAR NEUROSCIENCE
1416
FRONTIERS IN MOLECULAR NEUROSCIENCE
1418
FRONTIERS IN NEUROENDOCRINOLOGY
158
FRONTIERS IN NEUROLOGY
5415
FRONTIERS IN NEUROROBOTICS
609
FRONTIERS IN NEUROSCIENCE
4511
FRONTIERS IN SYSTEMS NEUROSCIENCE
303
GENES BRAIN AND BEHAVIOR
31
HUMAN BRAIN MAPPING
261
JOURNAL OF CEREBRAL BLOOD FLOW AND METABOLISM
101
JOURNAL OF COMPARATIVE NEUROLOGY
102
JOURNAL OF HEADACHE AND PAIN
399
JOURNAL OF NEURAL ENGINEERING
612
JOURNAL OF NEUROCHEMISTRY
206
JOURNAL OF NEUROSCIENCE
1687
JOURNAL OF NEUROSCIENCE RESEARCH
113
JOURNAL OF PAIN
16
JOURNAL OF PARKINSONS DISEASE
6
JOURNAL OF PINEAL RESEARCH
29
JOURNAL OF SLEEP RESEARCH
185
MOLECULAR AUTISM
135
MOLECULAR BRAIN
165
MOLECULAR NEUROBIOLOGY
914
MOLECULAR NEURODEGENERATION
226
MOLECULAR PAIN
34
MOLECULAR PSYCHIATRY
1003
NATURE NEUROSCIENCE
629
NATURE REVIEWS NEUROSCIENCE
317
NEUROBIOLOGY OF DISEASE
781
NEUROSCIENCE
0
NEUROSCIENCE AND BIOBEHAVIORAL REVIEWS
0
PAIN
599
PROGRESS IN NEUROBIOLOGY
0
PSYCHOPHARMACOLOGY
1139
ASN NEURO
24
BEHAVIORAL AND BRAIN FUNCTIONS
58
BIOLOGICAL PSYCHIATRY-COGNITIVE NEUROSCIENCE AND NEUROIMAGING
0
BRAIN AND BEHAVIOR
270
BRAIN AND COGNITION
0
BRAIN BEHAVIOR AND EVOLUTION
83
BRAIN RESEARCH
0
EUROPEAN JOURNAL OF NEUROSCIENCE
356
FRONTIERS IN INTEGRATIVE NEUROSCIENCE
268
FRONTIERS IN NEUROINFORMATICS
311
INTERNATIONAL CLINICAL PSYCHOPHARMACOLOGY
49
JOURNAL OF CHILD NEUROLOGY
77
JOURNAL OF NEUROPHYSIOLOGY
525
JOURNAL OF NEUROPSYCHIATRY AND CLINICAL NEUROSCIENCES
185
JOURNAL OF NEUROSCIENCE METHODS
1
JOURNAL OF THE PERIPHERAL NERVOUS SYSTEM
25
MOLECULAR AND CELLULAR NEUROSCIENCE
70
NEUROLOGY INDIA
414
NEUROPSYCHOLOGIA
0
NEUROREPORT
261
NEUROSCIENCE LETTERS
0
SYNAPSE
9
INTERNATIONAL REVIEW OF NEUROBIOLOGY
324
JOURNAL OF COMPARATIVE PHYSIOLOGY A-NEUROETHOLOGY SENSORY NEURAL AND BEHAVIORAL PHYSIOLOGY
232
JOURNAL OF STROKE & CEREBROVASCULAR DISEASES
35
REVUE NEUROLOGIQUE
502
TRENDS IN NEUROSCIENCE AND EDUCATION
80
BRAIN-BROAD RESEARCH IN ARTIFICIAL INTELLIGENCE AND NEUROSCIENCE
126
EGYPTIAN JOURNAL OF NEUROLOGY PSYCHIATRY AND NEUROSURGERY
387
INDIAN JOURNAL OF NEUROTRAUMA
120
INTERNATIONAL JOURNAL OF TRYPTOPHAN RESEARCH
11
NEUROSCIENCE INSIGHTS
18
PAIN REPORTS
184
EXPERIMENTAL BRAIN RESEARCH
603
INVERTEBRATE NEUROSCIENCE
20
JARO-JOURNAL OF THE ASSOCIATION FOR RESEARCH IN OTOLARYNGOLOGY
186
JOURNAL OF COMPUTATIONAL NEUROSCIENCE
105
JOURNAL OF NEURAL TRANSMISSION
417
NEUROCHEMICAL JOURNAL
194
NEUROINFORMATICS
201
NEUROMOLECULAR MEDICINE
200
NEUROPSYCHOLOGY REVIEW
179
NEUROSCIENCE BULLETIN
479
NEUROTOXICITY RESEARCH
334
PSYCHOPHARMACOLOGY
389
PURINERGIC SIGNALLING
231
SCI Abstract
search
ALL
RECOMMENDED
+
Epigenetic Regulation of OLIG2 in Glioblastoma: Mechanisms and Therapeutic Targets to Combat Treatment Resistance
Glioblastoma (GBM) represents one of the most aggressive brain tumors with a poor prognosis despite decades of research. E...
Journal Of Molecular Neuroscience
comment
0
thumb_up
0
Loss of COL20A1 in Schwann Cells Alters Regeneration of the Neuromuscular Junction and Locomotor Activity in Mice
Collagen type XX alpha 1 (COL20A1) was recently found to be highly concentrated in perisynaptic Schwann cells (PSCs), the ...
Journal Of Molecular Neuroscience
comment
0
thumb_up
0
Ketogenic Diet Mitigates Age-Related Cognitive Decline and Neuroinflammation in Rats, While Antibiotics Exacerbate Brain Health Risks
The ketogenic diet (KD), a high-fat, low-carbohydrate regimen, has been shown to exert neuroprotective effects in various ...
Journal Of Molecular Neuroscience
comment
0
thumb_up
0
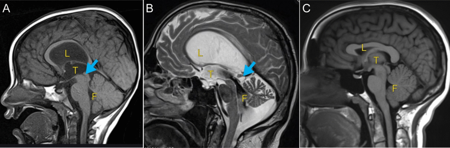
Exploring Ciliary Mechanisms in the Causation of Hydrocephalus in Humans—Similarities and Differences from Animal Models
Hydrocephalus is a condition defined by excessive cerebrospinal fluid (CSF) relative to the brain volume. Congenital and i...
Journal Of Molecular Neuroscience
comment
0
thumb_up
0
Serum Metabolomic Profiling in Possible Early-Stage Multiple Sclerosis: A Targeted H-NMR Comparison of OCB Type 1 and Type 2 Patterns
Oligoclonal band (OCB) analysis in cerebrospinal fluid (CSF) remains a cornerstone for the early diagnosis of multiple scl...
Journal Of Molecular Neuroscience
comment
0
thumb_up
0
Antiepileptic and Neuroprotective Biochemical Actions of Sabinene Prevent the Development of Pentylenetetrazol-Induced Seizures and Neuropsychiatric Comorbidities in Mice
Epilepsy is a long-term neurological disorder that leads to disability with neuropsychiatric comorbidities. Studies have s...
Journal Of Molecular Neuroscience
comment
0
thumb_up
0
Cognitive and Behavioral Effects of Chronic Tartrazine Use in vivo: An Assessment Within and Above the Acceptable Daily Intake
The use of dyes is a common practice in several industrial sectors to increase the attractiveness of the merchandise. Tart...
Journal Of Molecular Neuroscience
comment
0
thumb_up
0
Correction: Urolithin A Enhances Tight Junction Protein Expression in Endothelial Cells Cultured In Vitro via Pink1-Parkin-Mediated Mitophagy in Irradiated Astrocytes
Department of Neurology, The First Affiliated Hospital, Sun Yat-Sen University, No.58 Zhongshan Road 2, Guangzhou, 510080,...
Journal Of Molecular Neuroscience
comment
0
thumb_up
0
Integrin CD11b Alleviates Cerebral Ischemia/Reperfusion Injury via a Mechanism Involving Microglia/Macrophage Polarization
The polarization of microglia/macrophages is crucial for maintaining the neuroinflammatory response during cerebral ischem...
Journal Of Molecular Neuroscience
comment
0
thumb_up
0
Salivary Circadian Gene Expression as a Molecular Indicator of Early Cognitive Impairment in Shift Workers: A Cross-Sectional Study of 300 Adults
This cross-sectional study explored the potential utility of salivary circadian gene expression as a non-invasive biomarke...
Journal Of Molecular Neuroscience
comment
0
thumb_up
0
Therapeutic Potential of products derived from for Alzheimer’s Disease Treatment
AD is a neurodegenerative disorder and is associated with the presence of amyloid-β plaques and neurofibrillary tangl...
Journal Of Molecular Neuroscience
comment
0
thumb_up
0
RGS2-Related Non-coding Interaction Network Modulates the NF-Kappa B Signaling Pathway in MS Patients: A Systems Biology Investigation
Multiple sclerosis (MS) is the most common chronic inflammatory disease affecting the brain and spinal cord, with approxim...
Journal Of Molecular Neuroscience
comment
0
thumb_up
0
miR-146A and miR-146B Promoter Methylation and Common Sequence Variations Are Not Likely to Be Involved in Autism Spectrum Disorder
One of the well-studied epigenetic regulators is miRNA (miRNA) which plays critical roles in gene regulation and has been ...
Journal Of Molecular Neuroscience
comment
0
thumb_up
0
Comprehensive in Silico Reclassification of MECP2 Variants of Uncertain Significance in Rett Syndrome: Performance Evaluation and Structural Analysis
Rett syndrome (RTT) is a severe neurodevelopmental disorder primarily caused by missense variants in the MECP2 gene. Howev...
Journal Of Molecular Neuroscience
comment
0
thumb_up
0
Iron and Ferritin Dyshomeostasis Intersect with Sex, Age, and Disease Severity in Amyotrophic Lateral Sclerosis
Amyotrophic lateral sclerosis (ALS) is a fatal neurodegenerative disease, characterized by progressive loss of motor neuro...
Journal Of Molecular Neuroscience
comment
0
thumb_up
0
The Impact of Glutamatergic Excitotoxicity on the Differentiation of Cerebellar Neural Stem Cells
The adult cerebellum retains a small Sox2/prominin-1 NSC pool whose fate is shaped by developmental cues and the glutamate...
Journal Of Molecular Neuroscience
comment
0
thumb_up
0
Higher Serum Aspartate May be Associated with Better Cognitive Function as Mediated by Reduced Aβ Accumulation in Frontal and Temporal Lobes in Mild Cognitive Impairment
Aspartate, a key excitatory neurotransmitter, has shown conflicting links to cognitive disorders like Alzheimer’s di...
Journal Of Molecular Neuroscience
comment
0
thumb_up
0
Spinocerebellar Ataxia Type 1 (SCA1) Cell Models Display Widespread Mitochondrial and Extra-Nuclear Alterations
Ataxin-1 (ATXN1) is a nuclear-cytoplasmic shuttling protein, which, when expanded in its polyglutamine coding stretch, cau...
Journal Of Molecular Neuroscience
comment
0
thumb_up
0
Regulation of Hippocamposeptal Synaptic Transmission by GABABRs Is Altered in 5XFAD Mice in a Sex- and Age-Dependent Manner
Hippocamposeptal (HS) neurons send GABAergic projections from the hippocampus to the medial septum/diagonal band of Broca ...
Journal Of Molecular Neuroscience
comment
0
thumb_up
0
Sedative Effects of Daidzin, Possibly Through the GABAA Receptor Interaction Pathway: In Vivo Approach with Molecular Dynamic Simulations
The soy isoflavone daidzin (DZN) has been considered a hopeful bioactive compound having diverse biological activities, in...
Journal Of Molecular Neuroscience
comment
0
thumb_up
0
REV-ERBα Mitigates Astrocyte Activation and Protects Dopaminergic Neurons from Damage
Parkinson’s disease (PD) is characterized by astrocyte activation and disruptions in circadian rhythm. Within the as...
Journal Of Molecular Neuroscience
comment
0
thumb_up
0
Sex-Specific ADNP/NAP (Davunetide) Regulation of Cocaine-Induced Plasticity
Cocaine use disorder (CUD) is a chronic neuropsychiatric disorder estimated to effect 1–3% of the population. Activi...
Journal Of Molecular Neuroscience
comment
0
thumb_up
0
Involvement of CXCL10 rs4256246, CXCR4 rs2228014, CCR2 rs1799864 and CXCL16 rs2277680 in the Predisposition to Schizophrenia
Chemokine ligands and their receptors have acquired less attention than pro- and anti-inflammatory cytokines in schizophre...
Journal Of Molecular Neuroscience
comment
0
thumb_up
0
Identification and Validation of Endoplasmic Reticulum Stress-Related Gene in Traumatic Brain Injury
Endoplasmic reticulum stress (ERS) plays an essential role in the development of traumatic brain injury (TBI). We aimed to...
Journal Of Molecular Neuroscience
comment
0
thumb_up
0
An early Transcriptomic Investigation in Adult Patients with Spinal Muscular Atrophy Under Treatment with Nusinersen
Spinal muscular atrophy (SMA) is a rare degenerative disorder with loss of motor neurons caused by mutations in the SMN1 g...
Journal Of Molecular Neuroscience
comment
0
thumb_up
0
The Role of Thioredoxin System in Shank3 Mouse Model of Autism
Autism spectrum disorder (ASD) is a complex neurodevelopmental disorder characterized by difficulties in social interactio...
Journal Of Molecular Neuroscience
comment
0
thumb_up
0
Genomic Validation in the UK Biobank Cohort Suggests a Role of C8B and MFG-E8 in the Pathogenesis of Trigeminal Neuralgia
Trigeminal neuralgia (TN) is a severe facial pain disease of uncertain pathophysiology and unclear genetic background. Alt...
Journal Of Molecular Neuroscience
comment
0
thumb_up
0
Investigating the Genetic Association of 40 Biochemical Indicators with Parkinson’s Disease
The mechanisms of Parkinson’s disease (PD) are not fully understood, which hinders the development of effective ther...
Journal Of Molecular Neuroscience
comment
0
thumb_up
0
Clinical and Molecular Profiles of a Cohort of Egyptian Patients with Collagen VI-Related Dystrophy
Collagen VI-related dystrophies (COL6-RD) display a wide spectrum of disease severity and genetic variability ranging from...
Journal Of Molecular Neuroscience
comment
0
thumb_up
0
Identification of Pathogenic Missense Mutations of NF1 Using Computational Approaches
Neurofibromatosis type 1 (NF1) is a prevalent autosomal dominant disorder caused by mutations in the NF1 gene, leading to ...
Journal Of Molecular Neuroscience
comment
0
thumb_up
0
Load More
Modal title
×
Modal title
×
Share
Login
Global News and Health Forum
Join Now!
Member Login
Remember me
Forgot password?
Or using
Linkedin