×
Close
Sign Up
Login
Home
SCI Abstract
Library D
Events & Partner
WeMed
MDLA Events Platform
Events
Media Partners
Educational Partner
User Tools
FAQ/USER GUIDE
Language
English
中文/ Chinese
French
Português
Español
Arabic
Russian
Contact Us
×
Close
mdla_1
mdla_2
mdla_3
mdla_4
mdla_5
mdla_6
Categories
Radiology, Nuclear Medicine & Imaging
12468
Global Medical University
5118
Allergy
1792
Anatomy & Morphology
1583
Andrology
379
Anesthesia & Intensive Care
1297
Anesthesiology
5381
Audiology & Speech-Language Pathology
347
Behavioral Sciences
105
Biochemical Research Methods
7216
Biochemistry & Molecular Biology
30007
Biodiversity Conservation
330
Biology
8486
Biophysics
8251
Biotechnology & Applied Microbiology
8632
Cardiac & Cardiovascular Systems
31032
Cardiovascular & Respiratory Systems
1406
Cell & Tissue Engineering
704
Cell Biology
11170
Chemistry, Analytical
4291
Chemistry, Applied
10916
Chemistry, Medicinal
8729
Chemistry, Multidisciplinary
18507
Clinical Immunology & Infectious Disease
423
Clinical Medicine
8969
Clinical Neurology
16578
Clinical Psychology & Psychiatry
1290
Critical Care Medicine
3142
Dentistry, Oral Surgery & Medicine
13504
Dermatology
7480
Developmental Biology
6959
Ecology
631
Education, Scientific Disciplines
2038
Emergency Medicine
4124
Endocrinology, Metabolism & Nutrition
24550
Engineering, Biomedical
3709
Entomology
488
Environmental Medicine & Public Health
4649
Evolutionary Biology
275
Gastroenterology & Hepatology
12217
General & Internal Medicine
7003
Genetics & Heredity
15151
Geriatrics & Gerontology
5086
Gerontology
378
Health Care Sciences & Services
16164
Health Policy & Services
601
Hematology
5569
Immunology
24769
Infectious Diseases
13963
Integrative & Complementary Medicine
2938
Medical Ethics
1239
Medical Informatics
2242
Medical Laboratory Technology
419
Medicine, General & Internal
44308
Medicine, Legal
532
Medicine, Research & Experimental
17739
Microbiology
23298
Mycology
0
Nanoscience & Nanotechnology
5374
Neuroimaging
1374
Neurology
4554
Neurosciences
39811
Nursing
9793
Nutrition & Dietetics
7836
Obstetrics & Gynecology
8268
Oncology
52382
Ophthalmology
9720
Optics
4286
Orthopedics
11787
Orthopedics, Rehabilitation & Sports Medicine
1809
Otolaryngology
1582
Otorhinolaryngology
4885
Parasitology
1161
Pathology
5158
Pediatrics
21565
Peripheral Vascular Disease
4768
Pharmacology & Pharmacy
35428
Pharmacology/Toxicology
12185
Physiology
8898
Polymer Science
541
Primary Health Care
836
Psychiatry
19081
Psychology
5240
Psychology, Applied
111
Psychology, Biological
389
Psychology, Clinical
809
Psychology, Developmental
273
Psychology, Educational
164
Psychology, Experimental
188
Psychology, Mathematical
0
Psychology, Multidisciplinary
1690
Psychology, Psychoanalysis
30
Psychology, Social
131
Public Health & Health Care Science
2222
Public, Environmental & Occupational Health
27222
Quantum Science & Technology
0
Radiology, Nuclear Medicine & Medical Imaging
8246
Rehabilitation
3050
Remote Sensing
0
Reproductive Biology
2882
Reproductive Medicine
1212
Research/Laboratory Medicine & Medical Technology
4021
Respiratory System
7404
Rheumatology
6030
Social Sciences, Biomedical
1173
Substance Abuse
2767
Surgery
33810
Toxicology
4435
Transplantation
938
Tropical Medicine
300
Urology & Nephrology
12888
Veterinary Sciences
35
Virology
2548
Zoology
0
Channels
PEDIATRIC RADIOLOGY
730
ABDOMINAL RADIOLOGY
86
CANCER IMAGING
231
CLINICAL NUCLEAR MEDICINE
581
EJNMMI PHYSICS
217
EJNMMI RESEARCH
263
EUROPEAN JOURNAL OF NUCLEAR MEDICINE AND MOLECULAR IMAGING
940
EUROPEAN RADIOLOGY
1452
EUROPEAN RESPIRATORY JOURNAL
1132
JOURNAL OF CARDIOVASCULAR MAGNETIC RESONANCE
7
JOURNAL OF NUCLEAR CARDIOLOGY
636
MEDICAL IMAGE ANALYSIS
777
MOLECULAR IMAGING AND BIOLOGY
351
RADIOTHERAPY AND ONCOLOGY
0
SEMINARS IN NUCLEAR MEDICINE
222
ULTRASCHALL IN DER MEDIZIN
333
ULTRASOUND IN OBSTETRICS & GYNECOLOGY
308
ABDOMINAL RADIOLOGY
87
APPLIED RADIATION AND ISOTOPES
0
BRITISH JOURNAL OF RADIOLOGY
598
CANADIAN ASSOCIATION OF RADIOLOGISTS JOURNAL-JOURNAL DE L ASSOCIATION CANADIENNE DES RADIOLOGISTES
89
DENTOMAXILLOFACIAL RADIOLOGY
113
DIAGNOSTIC AND INTERVENTIONAL IMAGING
307
JOURNAL OF APPLIED CLINICAL MEDICAL PHYSICS
204
JOURNAL OF CLINICAL ULTRASOUND
125
JOURNAL OF COMPUTER ASSISTED TOMOGRAPHY
84
JOURNAL OF MEDICAL IMAGING AND RADIATION ONCOLOGY
126
JOURNAL OF THE BELGIAN SOCIETY OF RADIOLOGY
206
PHYSICA MEDICA-EUROPEAN JOURNAL OF MEDICAL PHYSICS
0
MAGNETIC RESONANCE IMAGING
517
MAGNETIC RESONANCE IMAGING CLINICS OF NORTH AMERICA
71
MEDICAL DOSIMETRY
26
SA JOURNAL OF RADIOLOGY
125
JAPANESE JOURNAL OF RADIOLOGY
435
JOURNAL OF DIGITAL IMAGING
485
JOURNAL OF MEDICAL ULTRASONICS
318
MAGNETIC RESONANCE MATERIALS IN PHYSICS BIOLOGY AND MEDICINE
286
SCI Abstract
search
ALL
RECOMMENDED
+
Does the addition of fentanyl premedication impact brown fat uptake in children undergoing a warming protocol for FDG PET?
Fentanyl is used in some pediatric practices with a goal of suppressing 18F-fluorodeoxyglucose (18F-FDG) uptake in brown f...
Pediatric Radiology
comment
0
thumb_up
0
Prenatal diagnosis of cerebellar hypoplasia in fetal ultrasound using deep learning under the constraint of the anatomical structures of the cerebellum and cistern
The objective of this retrospective study is to develop and validate an artificial intelligence model constrained by the a...
Pediatric Radiology
comment
0
thumb_up
0
Comparative radiation dose analysis in pediatric high-pitch cardiac CTA using photon-counting versus energy-integrating detector CT
Previous studies have shown improved image quality in pediatric cardiac imaging using photon-counting detector CT (PCDCT)....
Pediatric Radiology
comment
0
thumb_up
0
Comparison of phase-resolved functional lung (PREFUL) and hyperpolarized Xe MRI for longitudinal monitoring of lung function in pediatric cystic fibrosis following elexacaftor/tezacaftor/ivacaftor
Phase-resolved functional lung (PREFUL) MRI offers a more accessible alternative to hyperpolarized 129Xe MRI (Xe-MRI) for ...
Pediatric Radiology
comment
0
thumb_up
0
Waiting more than 6 hours from diagnosis does not negatively impact the success rate of pneumatic ileocolic intussusception reduction
Ileocolic intussusception is the most common cause of bowel obstruction in young children. There is an ongoing debate abou...
Pediatric Radiology
comment
0
thumb_up
0
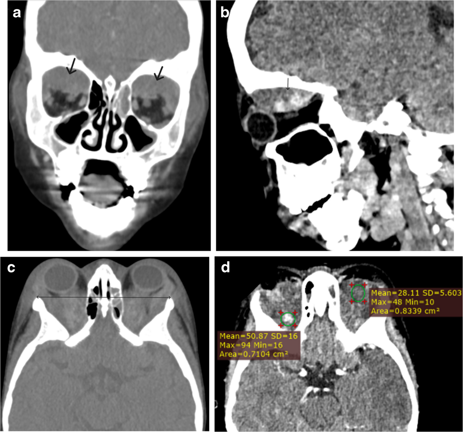
When sickle cell disease strikes the orbits: a rare pediatric case of bilateral subperiosteal hematomas
Bone infarctions can occasionally involve the orbit, presenting with subperiosteal hematomas and mimicking infectious or n...
Pediatric Radiology
comment
0
thumb_up
0
Proof-of-concept comparison of an artificial intelligence-based bone age assessment tool with Greulich-Pyle and Tanner-Whitehouse version 2 methods in a pediatric cohort
Bone age assessment is essential in evaluating pediatric growth disorders. Artificial intelligence (AI) systems offer pote...
Pediatric Radiology
comment
0
thumb_up
0
Lung nodules in pediatric osteosarcoma: calcification as the most reliable radiological indicator to confirm metastasis
Osteosarcoma is the most common bone pediatric cancer, with the lung being the primary site of metastasis. A chest compute...
Pediatric Radiology
comment
0
thumb_up
0
Ultrasound radiomics for identifying microstructural changes in the femoral head with developmental dysplasia of the hip
Non-invasive imaging methods for evaluating microstructural changes in patients with developmental dysplasia of the hip (D...
Pediatric Radiology
comment
0
thumb_up
0
Can metaphyseal variations in the distal femurs and proximal tibias be distinguished from classic metaphyseal lesions?
Classic metaphyseal lesions (CMLs) are considered specific for child abuse, but the reliability of radiologists in disting...
Pediatric Radiology
comment
0
thumb_up
0
A step-by-step guide for cardiac computed tomography ventricular volumetry using three-dimensional threshold-based segmentation for congenital heart disease
In addition to morphologic evaluation, cardiac computed tomography with a short scan time and a high spatial resolution ma...
Pediatric Radiology
comment
0
thumb_up
0
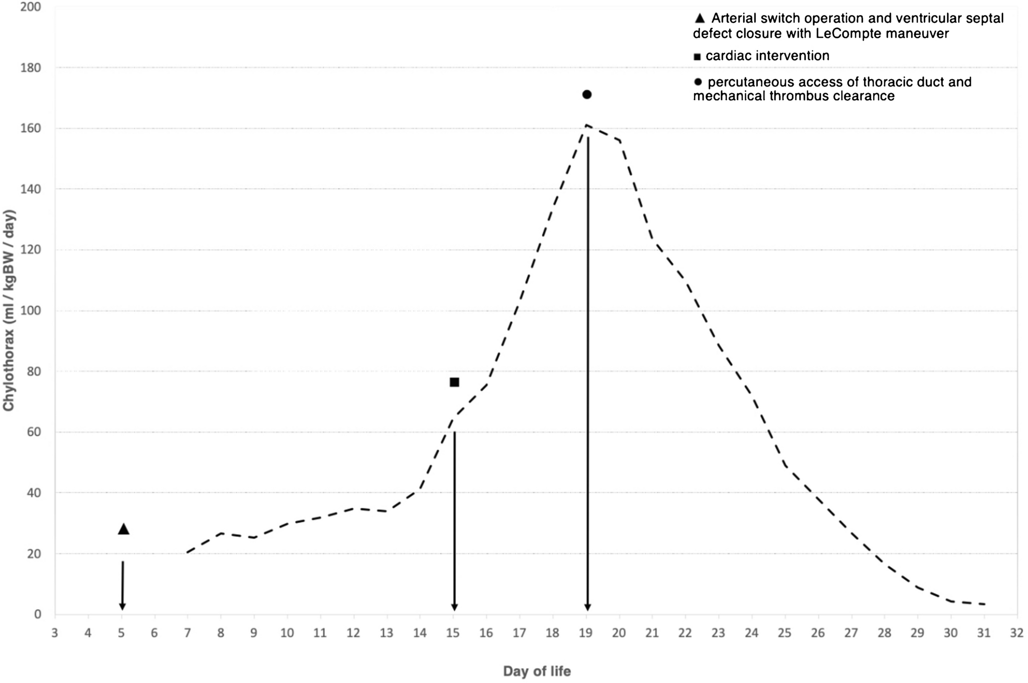
Direct percutaneous access of the thoracic duct in a neonate as curative treatment of a high-output life-threatening chylothorax due to thrombotic occlusion of the thoracic duct–venous junction
A life-threatening chylothorax developed in a female neonate after corrective surgery of d-transposition of the great arte...
Pediatric Radiology
comment
0
thumb_up
0
Alphabet soup: a systematic approach to understanding congenital chest lesions
Congenital chest lesions are a diverse group of anomalies which can have similar imaging appearances, thus creating diagno...
Pediatric Radiology
comment
0
thumb_up
0
Cerebrospinal fluid metastasis in retinoblastoma - a must know for pediatric radiologists: reply to Ching et al
Cite this articleBhatia, A., Prabhakar, A., Sodhi, K. et al. Cerebrospinal fluid metastasis in retinoblastoma - a must kno...
Pediatric Radiology
comment
0
thumb_up
0
A standardized universal protocol for using adjunct abdominal ultrasound at the time of diagnosis for suspected necrotizing enterocolitis
Necrotizing enterocolitis (NEC) remains a highly morbid disease for preterm infants. The use of adjunct abdominal ultrason...
Pediatric Radiology
comment
0
thumb_up
0
MRI safety—developing the right culture
In recent years, magnetic resonance imaging (MRI) among pediatric populations has risen, requiring strict adherence to MRI...
Pediatric Radiology
comment
0
thumb_up
0
Development and evaluation of a training program for implementation of velopharyngeal MRI in the clinical setting
Many craniofacial teams are interested in using velopharyngeal magnetic resonance imaging (MRI) clinically for surgical pl...
Pediatric Radiology
comment
0
thumb_up
0
Radiological and clinical signatures to differentiate hepatocellular carcinoma from hepatoblastoma in children older than 5 years of age: a feasibility study
Hepatoblastoma and hepatocellular carcinoma (HCC) are the most common primary malignant liver tumors in children. Although...
Pediatric Radiology
comment
0
thumb_up
0
Two-year experience of radiation dose watch for pediatric general fluoroscopic examinations
The radiation dose of pediatric general fluoroscopy exams has historically been a topic of concern, with ongoing efforts a...
Pediatric Radiology
comment
0
thumb_up
0
Technology, connection, and engagement—achieving a balance for maximal value hybrid conferences in radiology
The COVID-19 pandemic catalyzed a transformation in medical education, leading to the emergence of hybrid learning formats...
Pediatric Radiology
comment
0
thumb_up
0
Use of photon-counting CT and three-dimensional printing for an intra-thoracic retained ballistic fragment in a 9-year-old
Retained ballistic fragments from gunshot wounds pose diagnostic and management challenges for radiologists and surgeons a...
Pediatric Radiology
comment
0
thumb_up
0
Opportunistic screening for bone mineral density deficits in pediatric patients from abdominal computed tomography scans obtained for other indications: a cross-sectional study
Quantitative computed tomography (QCT) has been widely applied for opportunistic screening for osteoporosis in adults, but...
Pediatric Radiology
comment
0
thumb_up
0
Application of simple preparation for pediatric magnetic resonance imaging: a multicenter study in Japan
Sedation with anesthetic medication is often required to perform magnetic resonance imaging (MRI) scans in young children....
Pediatric Radiology
comment
0
thumb_up
0
Is that bowel normal? Nomograms for fetal colon and rectum measurements by MRI from 20–36 weeks’ gestation
MRI is being increasingly used as a supplemental tool to ultrasound for prenatal diagnosis of fetal anomalies. Evidence su...
Pediatric Radiology
comment
0
thumb_up
0
Type IIA pulmonary artery sling with tracheobronchial anomalies
A 9-year-old girl presented with wheezing and fever (temperature, 38.5 °C) after catching a cold 1 month prior. After rece...
Pediatric Radiology
comment
0
thumb_up
0
Cerebrolith in hydranencephaly
Open Access This article is licensed under a Creative Commons Attribution 4.0 International License, which...
Pediatric Radiology
comment
0
thumb_up
0
Assessment of sacroiliitis using zero echo time magnetic resonance imaging: a comprehensive evaluation
Enthesitis-related arthritis (ERA), a subset of juvenile idiopathic arthritis (JIA), is characterized by frequent involvem...
Pediatric Radiology
comment
0
thumb_up
0
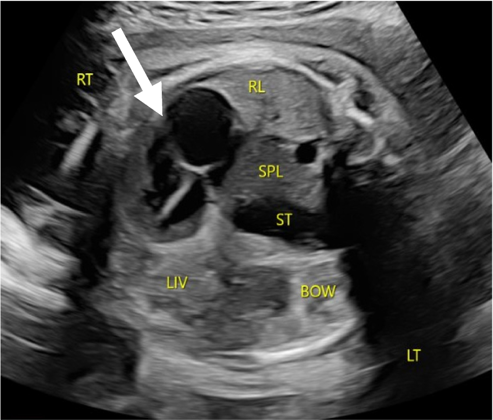
Ultrasonographic diagnosis and follow-up of a special type of giant fetal hepatic hemangioma
We present a case of giant fetal hepatic hemangioma to illustrate the impact of ultrasound monitoring on treatment outcome...
Pediatric Radiology
comment
0
thumb_up
0
Pediatric non-congenital central nervous system infections: role of imaging in the emergency department
Neurological emergencies in pediatric patients, including central nervous system infections like meningitis and encephalit...
Pediatric Radiology
comment
0
thumb_up
0
Significance of left ventricular strain in cardiac magnetic resonance for short-term prognosis in pediatric patients with acute lymphoblastic leukemia
The survival rate of pediatric leukemia patients has remarkably increased. Early identification of cardiotoxicity associat...
Pediatric Radiology
comment
0
thumb_up
0
Load More
Modal title
×
Modal title
×
Share
Login
Global News and Health Forum
Join Now!
Member Login
Remember me
Forgot password?
Or using
Linkedin