×
Close
Sign Up
Login
Home
SCI Abstract
Library D
Events & Partner
WeMed
MDLA Events Platform
Events
Media Partners
Educational Partner
User Tools
FAQ/USER GUIDE
Language
English
中文/ Chinese
French
Português
Español
Arabic
Russian
Contact Us
×
Close
mdla_1
mdla_2
mdla_3
mdla_4
mdla_5
mdla_6
Categories
Cardiac & Cardiovascular Systems
31005
Global Medical University
5105
Allergy
1792
Anatomy & Morphology
1582
Andrology
379
Anesthesia & Intensive Care
1297
Anesthesiology
5389
Audiology & Speech-Language Pathology
347
Behavioral Sciences
105
Biochemical Research Methods
7205
Biochemistry & Molecular Biology
29953
Biodiversity Conservation
330
Biology
8488
Biophysics
8227
Biotechnology & Applied Microbiology
8608
Cardiovascular & Respiratory Systems
1397
Cell & Tissue Engineering
698
Cell Biology
11189
Chemistry, Analytical
4288
Chemistry, Applied
10860
Chemistry, Medicinal
8731
Chemistry, Multidisciplinary
18453
Clinical Immunology & Infectious Disease
405
Clinical Medicine
8964
Clinical Neurology
16584
Clinical Psychology & Psychiatry
1275
Critical Care Medicine
3136
Dentistry, Oral Surgery & Medicine
13503
Dermatology
7469
Developmental Biology
6938
Ecology
630
Education, Scientific Disciplines
2026
Emergency Medicine
4111
Endocrinology, Metabolism & Nutrition
24472
Engineering, Biomedical
3723
Entomology
488
Environmental Medicine & Public Health
4649
Evolutionary Biology
275
Gastroenterology & Hepatology
12185
General & Internal Medicine
6948
Genetics & Heredity
15098
Geriatrics & Gerontology
5065
Gerontology
378
Health Care Sciences & Services
16121
Health Policy & Services
599
Hematology
5569
Immunology
24701
Infectious Diseases
13922
Integrative & Complementary Medicine
2919
Medical Ethics
1239
Medical Informatics
2224
Medical Laboratory Technology
419
Medicine, General & Internal
44221
Medicine, Legal
532
Medicine, Research & Experimental
17699
Microbiology
23236
Mycology
0
Nanoscience & Nanotechnology
5359
Neuroimaging
1369
Neurology
4544
Neurosciences
39684
Nursing
9774
Nutrition & Dietetics
7823
Obstetrics & Gynecology
8244
Oncology
52232
Ophthalmology
9703
Optics
4269
Orthopedics
11757
Orthopedics, Rehabilitation & Sports Medicine
1807
Otolaryngology
1580
Otorhinolaryngology
4864
Parasitology
1157
Pathology
5141
Pediatrics
21478
Peripheral Vascular Disease
4777
Pharmacology & Pharmacy
35372
Pharmacology/Toxicology
12164
Physiology
8858
Polymer Science
550
Primary Health Care
834
Psychiatry
18990
Psychology
5225
Psychology, Applied
111
Psychology, Biological
389
Psychology, Clinical
806
Psychology, Developmental
272
Psychology, Educational
158
Psychology, Experimental
188
Psychology, Mathematical
0
Psychology, Multidisciplinary
1682
Psychology, Psychoanalysis
30
Psychology, Social
131
Public Health & Health Care Science
2222
Public, Environmental & Occupational Health
27209
Quantum Science & Technology
0
Radiology, Nuclear Medicine & Imaging
12396
Radiology, Nuclear Medicine & Medical Imaging
8244
Rehabilitation
3039
Remote Sensing
0
Reproductive Biology
2874
Reproductive Medicine
1206
Research/Laboratory Medicine & Medical Technology
3998
Respiratory System
7386
Rheumatology
6024
Social Sciences, Biomedical
1167
Substance Abuse
2759
Surgery
33684
Toxicology
4433
Transplantation
938
Tropical Medicine
300
Urology & Nephrology
12811
Veterinary Sciences
35
Virology
2545
Zoology
0
Channels
INTERNATIONAL JOURNAL OF CARDIOVASCULAR IMAGING
755
CardioVascular and Interventional Radiology
719
Indian Journal of Cardiovascular Disease in Women
55
Cardiology
2
Archives of Disease in Childhood Fetal & Neonata
20
Heart current Issue
446
Medrxiv - Cardiovascular Medicine Medrxiv
1218
AMERICAN HEART JOURNAL
577
ATHEROSCLEROSIS
746
BASIC RESEARCH IN CARDIOLOGY
175
CARDIOVASCULAR DRUGS AND THERAPY
424
CIRCULATION
839
CIRCULATION-ARRHYTHMIA AND ELECTROPHYSIOLOGY
187
CIRCULATION-CARDIOVASCULAR IMAGING
234
CIRCULATION-CARDIOVASCULAR INTERVENTIONS
231
CIRCULATION-CARDIOVASCULAR QUALITY AND OUTCOMES
260
CIRCULATION-HEART FAILURE
261
CLINICAL RESEARCH IN CARDIOLOGY
532
CURRENT PROBLEMS IN CARDIOLOGY
964
ESC HEART FAILURE
329
EUROPEAN HEART JOURNAL-ACUTE CARDIOVASCULAR CARE
20
EUROPEAN JOURNAL OF PREVENTIVE CARDIOLOGY
28
GLOBAL HEART
147
HEART
497
HYPERTENSION
273
INTERNATIONAL JOURNAL OF CARDIOLOGY
1181
JAMA CARDIOLOGY
17
JOURNAL OF CARDIAC FAILURE
31
JOURNAL OF THE AMERICAN HEART ASSOCIATION
1612
JOURNAL OF THE AMERICAN SOCIETY OF ECHOCARDIOGRAPHY
659
NATURE REVIEWS CARDIOLOGY
411
PROGRESS IN CARDIOVASCULAR DISEASES
0
RESPIRATORY RESEARCH
686
STROKE
907
TRENDS IN CARDIOVASCULAR MEDICINE
0
ANNALS OF CARDIOTHORACIC SURGERY
174
ANNALS OF NONINVASIVE ELECTROCARDIOLOGY
67
ANNALS OF THORACIC MEDICINE
10
BMC CARDIOVASCULAR DISORDERS
1142
CARDIOLOGY
150
CARDIOLOGY CLINICS
83
CARDIOLOGY IN REVIEW
12
CARDIORENAL MEDICINE
53
CARDIOVASCULAR DIAGNOSIS AND THERAPY
83
CATHETERIZATION AND CARDIOVASCULAR INTERVENTIONS
319
CLINICAL CARDIOLOGY
122
CONGENITAL HEART DISEASE
19
CURRENT OPINION IN CARDIOLOGY
60
ECHOCARDIOGRAPHY-A JOURNAL OF CARDIOVASCULAR ULTRASOUND AND ALLIED TECHNIQUES
167
FRONTIERS IN CARDIOVASCULAR MEDICINE
6322
HEART LUNG AND CIRCULATION
0
JOURNAL OF CARDIAC SURGERY
476
JOURNAL OF CARDIOPULMONARY REHABILITATION AND PREVENTION
73
JOURNAL OF CARDIOVASCULAR ELECTROPHYSIOLOGY
275
JOURNAL OF CARDIOVASCULAR MEDICINE
211
JOURNAL OF ELECTROCARDIOLOGY
402
JOURNAL OF INTERVENTIONAL CARDIAC ELECTROPHYSIOLOGY
836
REVIEWS IN CARDIOVASCULAR MEDICINE
16
HEART FAILURE CLINICS
59
JOURNAL OF GERIATRIC CARDIOLOGY
269
SEMINARS IN THORACIC AND CARDIOVASCULAR SURGERY
39
WORLD JOURNAL FOR PEDIATRIC AND CONGENITAL HEART SURGERY
88
ANNALS OF PEDIATRIC CARDIOLOGY
100
ARCHIVES OF CARDIOVASCULAR DISEASES SUPPLEMENTS
137
CARDIOGENETICS
41
CARDIOLOGY AND THERAPY
153
CARDIOVASCULAR ENDOCRINOLOGY & METABOLISM
58
CARDIOVASCULAR INNOVATIONS AND APPLICATIONS
154
CARDIOVASCULAR INTERVENTION AND THERAPEUTICS
282
CLINICAL MEDICINE INSIGHTS-CARDIOLOGY
11
COR ET VASA
185
CURRENT CARDIOLOGY REVIEWS
18
CURRENT CARDIOVASCULAR RISK REPORTS
90
EGYPTIAN HEART JOURNAL
251
EUROPEAN CARDIOLOGY REVIEW
8
HEART VIEWS
134
IRANIAN HEART JOURNAL
165
JOURNAL OF CARDIOVASCULAR ECHOGRAPHY
92
JOURNAL OF ECHOCARDIOGRAPHY
174
JOURNAL OF THE PRACTICE OF CARDIOVASCULAR SCIENCES
87
JRSM CARDIOVASCULAR DISEASE
20
RATIONAL PHARMACOTHERAPY IN CARDIOLOGY
19
RESEARCH IN CARDIOVASCULAR MEDICINE
52
PAKISTAN HEART JOURNAL
0
CURRENT CARDIOLOGY REPORTS
512
HEART AND VESSELS
549
JOURNAL OF THROMBOSIS AND THROMBOLYSIS
445
NETHERLANDS HEART JOURNAL
299
SCI Abstract
search
ALL
RECOMMENDED
+
AI-Driven multi-view learning from CCTA for myocardial infarction diagnosis
Non–ST-elevation acute coronary syndrome (NSTE-ACS) remains a diagnostic challenge, as a proportion of patients do n...
International Journal Of Cardiovascular Imaging
comment
0
thumb_up
0
Association between epicardial adipose tissue and transfusion-dependent β-thalassemia
Epicardial adipose tissue (EAT) is a fat depot with secretive and neuromodulative properties, involved in the pathogenesis...
International Journal Of Cardiovascular Imaging
comment
0
thumb_up
0
CT coronary angiography in the lipid clinic: a pilot study and lipidologist survey
Guidelines recommend considering coronary calcium score (CCS) in asymptomatic patients to aid risk stratification. However...
International Journal Of Cardiovascular Imaging
comment
0
thumb_up
0
Full free-breathing motion-corrected cardiac cine and late gadolinium enhancement MRI: feasibility and validation in clinical practice
To validate the use of full free-breathing (FB) motion-corrected (MoCo) cardiac MRI examinations in assessing biventricula...
International Journal Of Cardiovascular Imaging
comment
0
thumb_up
0
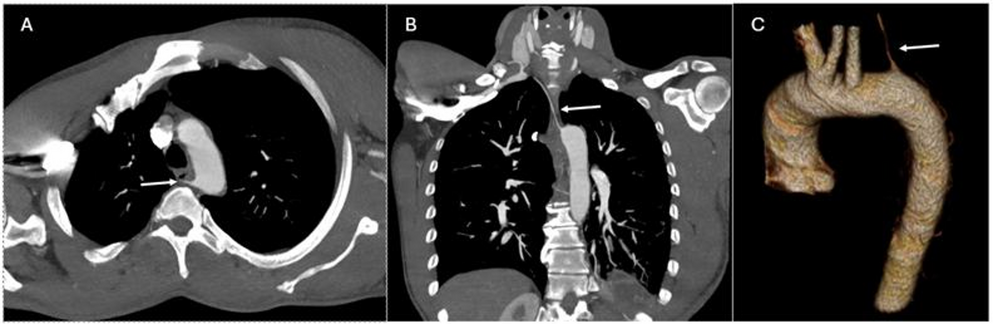
Left aortic arch with aberrant right vertebral artery
Competing interests The authors declare no competing interests. ...
International Journal Of Cardiovascular Imaging
comment
0
thumb_up
0
Assessing extensive coronary artery disease using a myocardial jeopardy score based on coronary CT: long-term prognostic value
The British Cardiovascular Intervention Society Jeopardy Score (BCIS-JS) is an established, simplified scoring system for ...
International Journal Of Cardiovascular Imaging
comment
0
thumb_up
0
Reproducibility assessment of biventricular strain derived from Long-Axis feature tracking in travelling Volunteers - A study in the Berlin research network for cardiovascular magnetic resonance (BER-CMR)
To evaluate the reproducibility of biventricular global longitudinal strain (GLS) assessment using cardiovascular magnetic...
International Journal Of Cardiovascular Imaging
comment
0
thumb_up
0
Double chambered left ventricle: an incidental rare congenital heart disease. Report of a case within the context of a literature review
Double-chambered left ventricle (DCLV) is an extremely rare congenital heart disease in which a muscular band or fibromusc...
International Journal Of Cardiovascular Imaging
comment
0
thumb_up
0
Giant cell myocarditis in a middle-aged male: features in CMR
Giant cell myocarditis (GCM) is a rare, rapidly progressive inflammatory cardiomyopathy that often presents with fulminant...
International Journal Of Cardiovascular Imaging
comment
0
thumb_up
0
The association between angiographically derived radial wall strain and the risk of in-stent restenosis
In-stent restenosis (ISR) remains a major stent failure post-PCI. This study aimed to explore the predictive capability of...
International Journal Of Cardiovascular Imaging
comment
0
thumb_up
0
Reimagining chronic total occlusion management interventions: the role of artificial intelligence in imaging, planning, and procedural guidance
Chronic Total Occlusions (CTOs) remain among the most complex lesions encountered in percutaneous coronary intervention (P...
International Journal Of Cardiovascular Imaging
comment
0
thumb_up
0
Unsupervised phenotypic clustering of cardiac MRI data reveals distinct subgroups associated with outcomes in ischemic cardiomyopathy
Ischemic cardiomyopathy (ICM) shows significant heterogeneity in clinical outcomes, challenging traditional risk stratific...
International Journal Of Cardiovascular Imaging
comment
0
thumb_up
0
Prognostic significance of bilateral carotid plaque asymmetry for major cardiovascular events in high-risk patients: a 3-year retrospective cohort study
Carotid atherosclerotic plaque burden and asymmetry may reflect systemic vascular instability, but their prognostic value ...
International Journal Of Cardiovascular Imaging
comment
0
thumb_up
0
Percutaneous left atrial appendage occlusion following failed surgical ligation for incessant left atrial appendage tachycardia: key role of multimodality imaging
We describe the case of a 31-year-old male with incessant left atrial appendage tachycardia and resultant severe left vent...
International Journal Of Cardiovascular Imaging
comment
0
thumb_up
0
Coronary microvascular dysfunction in gestational diabetes: insights on possible mechanism from a large institutional registry
Gestational diabetes is associated with an increased risk of coronary artery disease (CAD) and adverse cardiovascular even...
International Journal Of Cardiovascular Imaging
comment
0
thumb_up
0
Simultaneous measurement of coronary sinus flow and myocardial flow reserve using hybrid N-ammonia PETMR in patients with ischemic heart disease
This study aimed to investigate the correlation and assess the interchangeability between myocardial flow reserve (MFR) qu...
International Journal Of Cardiovascular Imaging
comment
0
thumb_up
0
Association of preoperative Circulating biomarkers with echocardiographic measures of right ventricular strain five years after tetralogy of fallot repair
We analyzed right ventricular (RV) function using echocardiography after tetralogy of Fallot (TOF) repair to investigate t...
International Journal Of Cardiovascular Imaging
comment
0
thumb_up
0
Effect of sampling rate during dynamic myocardial CT perfusion on coronary flow reserve and ischemia analysis
Radiation dose is a major concern in dynamic myocardial CT perfusion scan. The purpose of this study was to investigate th...
International Journal Of Cardiovascular Imaging
comment
0
thumb_up
0
Advances and challenges in echocardiographic diagnosis and management of cardiac amyloidosis
Cardiac amyloidosis is an infiltrative cardiomyopathy characterized by the abnormal accumulation of amyloid proteins withi...
International Journal Of Cardiovascular Imaging
comment
0
thumb_up
0
The effect of hematopoietic stem cell transplantation on cardiac mechanics in systemic sclerosis
Systemic sclerosis (SSc) is an autoimmune disease that causes inflammation and fibrosis. Cardiac involvement in SSc is oft...
International Journal Of Cardiovascular Imaging
comment
0
thumb_up
0
Artificial intelligence quantification and experienced reader computed tomography analysis for differentiating normal from minimally and mildly diseased coronary arteries: an early real-world compatibility study
Differentiating normal from minimally and mildly diseased coronary arteries on coronary computed tomographic angiography (...
International Journal Of Cardiovascular Imaging
comment
0
thumb_up
0
HFpEF correlated with better improvement of left atrial function in post-ablation patients with paroxysmal atrial fibrillation
The extent of improvement in left atrial (LA) function after radiofrequency catheter ablation (RFCA) in patients with paro...
International Journal Of Cardiovascular Imaging
comment
0
thumb_up
0
Positional mitral regurgitation: a dynamic phenomenon
Mitral regurgitation (MR) is a dynamic condition influenced by positional changes and physical stress. We report a case of...
International Journal Of Cardiovascular Imaging
comment
0
thumb_up
0
Value of upfront coronary computed tomography angiography in patients with non-ST-segment elevation acute coronary syndrome
This study aimed to evaluate the diagnostic performance of coronary computed tomography angiography (CCTA) in ruling out c...
International Journal Of Cardiovascular Imaging
comment
0
thumb_up
0
Cross-sectional imaging for presurgical planning of dialysis circuit vascular access creation in the end stage renal disease patient population
This systematic review explores the role of cross-sectional imaging modalities—computed tomography angiography (CTA)...
International Journal Of Cardiovascular Imaging
comment
0
thumb_up
0
Reliability of spectral Doppler in handheld ultrasonographic device
To verify and validate the reliability of diastolic function parameters and valvular flow velocities acquired during the h...
International Journal Of Cardiovascular Imaging
comment
0
thumb_up
0
Usefulness of two-dimensional speckle tracking echocardiography in assessment of left atrial fibrosis degree and its application in atrial fibrillation
This study aimed to establish a clinical prediction model for assessing the degree of left atrial fibrosis (LAF) in patien...
International Journal Of Cardiovascular Imaging
comment
0
thumb_up
0
Predicting the need for calcium modification techniques using computed tomography coronary angiography
Calcified coronary arteries pose a challenge to percutaneous coronary intervention (PCI). Calcium modification techniques ...
International Journal Of Cardiovascular Imaging
comment
0
thumb_up
0
A case of constrictive pericarditis with aortic insufficiency: the role of cardiac magnetic resonance imaging
Transthoracic echocardiography is recommended as a diagnostic test of choice for constrictive pericarditis. Nevertheless, ...
International Journal Of Cardiovascular Imaging
comment
0
thumb_up
0
Non-invasive derivation of instantaneous free-wave ratio from invasive coronary angiography using a new deep learning artificial intelligence model and comparison with human operators’ performance
Invasive coronary physiology is underused and carries risks/costs. Artificial Intelligence (AI) might enable non-invasive ...
International Journal Of Cardiovascular Imaging
comment
0
thumb_up
0
Load More
Modal title
×
Modal title
×
Share
Login
Global News and Health Forum
Join Now!
Member Login
Remember me
Forgot password?
Or using
Linkedin