×
Close
Sign Up
Login
Home
SCI Abstract
Library D
Events & Partner
WeMed
MDLA Events Platform
Events
Media Partners
Educational Partner
User Tools
FAQ/USER GUIDE
Language
English
中文/ Chinese
French
Português
Español
Arabic
Russian
Contact Us
×
Close
mdla_1
mdla_2
mdla_3
mdla_4
mdla_5
mdla_6
Categories
Oncology
52232
Global Medical University
5105
Allergy
1792
Anatomy & Morphology
1582
Andrology
379
Anesthesia & Intensive Care
1297
Anesthesiology
5389
Audiology & Speech-Language Pathology
347
Behavioral Sciences
105
Biochemical Research Methods
7205
Biochemistry & Molecular Biology
29953
Biodiversity Conservation
330
Biology
8488
Biophysics
8227
Biotechnology & Applied Microbiology
8608
Cardiac & Cardiovascular Systems
31005
Cardiovascular & Respiratory Systems
1397
Cell & Tissue Engineering
698
Cell Biology
11189
Chemistry, Analytical
4288
Chemistry, Applied
10860
Chemistry, Medicinal
8731
Chemistry, Multidisciplinary
18453
Clinical Immunology & Infectious Disease
405
Clinical Medicine
8964
Clinical Neurology
16584
Clinical Psychology & Psychiatry
1275
Critical Care Medicine
3136
Dentistry, Oral Surgery & Medicine
13503
Dermatology
7469
Developmental Biology
6938
Ecology
630
Education, Scientific Disciplines
2026
Emergency Medicine
4111
Endocrinology, Metabolism & Nutrition
24472
Engineering, Biomedical
3723
Entomology
488
Environmental Medicine & Public Health
4649
Evolutionary Biology
275
Gastroenterology & Hepatology
12185
General & Internal Medicine
6948
Genetics & Heredity
15098
Geriatrics & Gerontology
5065
Gerontology
378
Health Care Sciences & Services
16121
Health Policy & Services
599
Hematology
5569
Immunology
24701
Infectious Diseases
13922
Integrative & Complementary Medicine
2919
Medical Ethics
1239
Medical Informatics
2224
Medical Laboratory Technology
419
Medicine, General & Internal
44221
Medicine, Legal
532
Medicine, Research & Experimental
17699
Microbiology
23236
Mycology
0
Nanoscience & Nanotechnology
5359
Neuroimaging
1369
Neurology
4544
Neurosciences
39684
Nursing
9774
Nutrition & Dietetics
7823
Obstetrics & Gynecology
8244
Ophthalmology
9703
Optics
4269
Orthopedics
11757
Orthopedics, Rehabilitation & Sports Medicine
1807
Otolaryngology
1580
Otorhinolaryngology
4864
Parasitology
1157
Pathology
5141
Pediatrics
21478
Peripheral Vascular Disease
4777
Pharmacology & Pharmacy
35372
Pharmacology/Toxicology
12164
Physiology
8858
Polymer Science
550
Primary Health Care
834
Psychiatry
18990
Psychology
5225
Psychology, Applied
111
Psychology, Biological
389
Psychology, Clinical
806
Psychology, Developmental
272
Psychology, Educational
158
Psychology, Experimental
188
Psychology, Mathematical
0
Psychology, Multidisciplinary
1682
Psychology, Psychoanalysis
30
Psychology, Social
131
Public Health & Health Care Science
2222
Public, Environmental & Occupational Health
27209
Quantum Science & Technology
0
Radiology, Nuclear Medicine & Imaging
12396
Radiology, Nuclear Medicine & Medical Imaging
8244
Rehabilitation
3039
Remote Sensing
0
Reproductive Biology
2874
Reproductive Medicine
1206
Research/Laboratory Medicine & Medical Technology
3998
Respiratory System
7386
Rheumatology
6024
Social Sciences, Biomedical
1167
Substance Abuse
2759
Surgery
33684
Toxicology
4433
Transplantation
938
Tropical Medicine
300
Urology & Nephrology
12811
Veterinary Sciences
35
Virology
2545
Zoology
0
Channels
STRAHLENTHERAPIE UND ONKOLOGIE
422
Pathology Society Understanding disease
52
Asian Journal of Oncology
57
Medrxiv - Oncology
829
AMERICAN JOURNAL OF CLINICAL ONCOLOGY-CANCER CLINICAL TRIALS
217
BONE MARROW TRANSPLANTATION
776
BREAST CANCER RESEARCH
301
BREAST CANCER RESEARCH AND TREATMENT
734
BRITISH JOURNAL OF CANCER
1004
CA-A CANCER JOURNAL FOR CLINICIANS
24
CANCER
419
CANCER AND METASTASIS REVIEWS
219
CANCER CELL INTERNATIONAL
900
CANCER DISCOVERY
156
CANCER MEDICINE
456
CANCER PREVENTION RESEARCH
62
CANCER RESEARCH
277
CANCER RESEARCH AND TREATMENT
20
CANCER SCIENCE
237
CANCERS
4428
CLINICAL CANCER RESEARCH
292
CLINICAL EPIGENETICS
434
CURRENT ONCOLOGY REPORTS
424
CURRENT OPINION IN ONCOLOGY
227
CURRENT TREATMENT OPTIONS IN ONCOLOGY
322
EXPERIMENTAL CELL RESEARCH
816
HEMATOLOGICAL ONCOLOGY
152
INTERNATIONAL JOURNAL OF CANCER
292
JOURNAL FOR IMMUNOTHERAPY OF CANCER
1345
JOURNAL OF CANCER
20
JOURNAL OF CANCER RESEARCH AND CLINICAL ONCOLOGY
972
JOURNAL OF CLINICAL ONCOLOGY
947
JOURNAL OF EXPERIMENTAL & CLINICAL CANCER RESEARCH
770
JOURNAL OF HEMATOLOGY & ONCOLOGY
381
JOURNAL OF NEURO-ONCOLOGY
744
JOURNAL OF PATHOLOGY
39
JOURNAL OF SURGICAL ONCOLOGY
240
LEUKEMIA
752
LIVER CANCER
131
MEDICAL ONCOLOGY
397
MOLECULAR CANCER
467
MOLECULAR CANCER THERAPEUTICS
157
MOLECULAR ONCOLOGY
196
NATURE REVIEWS CANCER
313
NATURE REVIEWS CLINICAL ONCOLOGY
333
NEOPLASIA
293
ONCOGENE
980
ONCOGENESIS
188
ONCOLOGIST
204
ONCOLOGY-NEW YORK
70
ONCOTARGETS AND THERAPY
606
PSYCHO-ONCOLOGY
158
SURGICAL ONCOLOGY-OXFORD
348
THERAPEUTIC ADVANCES IN MEDICAL ONCOLOGY
86
ASIA-PACIFIC JOURNAL OF CLINICAL ONCOLOGY
143
BMC CANCER
1859
CANCER EPIDEMIOLOGY
461
CANCER GENETICS
31
CANCER MANAGEMENT AND RESEARCH
1010
CURRENT ONCOLOGY
803
FRONTIERS IN ONCOLOGY
9927
FUTURE ONCOLOGY
111
GENES CHROMOSOMES & CANCER
50
HEREDITARY CANCER IN CLINICAL PRACTICE
98
INFECTIOUS AGENTS AND CANCER
182
INTEGRATIVE CANCER THERAPIES
69
INTERNATIONAL JOURNAL OF GYNECOLOGICAL CANCER
649
JOURNAL OF BUON
25
JOURNAL OF CANCER RESEARCH AND THERAPEUTICS
274
JOURNAL OF HEPATOCELLULAR CARCINOMA
420
ONCOLOGY
90
ONCOLOGY RESEARCH AND TREATMENT
161
PEDIATRIC BLOOD & CANCER
403
SEMINARS IN ONCOLOGY NURSING
319
TECHNOLOGY IN CANCER RESEARCH & TREATMENT
204
THORACIC CANCER
271
TUMORI J
67
INDIAN JOURNAL OF CANCER
122
JOURNAL OF ONCOLOGY PRACTICE
410
PHOTODIAGNOSIS AND PHOTODYNAMIC THERAPY
963
RADIATION ONCOLOGY
517
WORLD CANCER RESEARCH JOURNAL
137
SOUTH ASIAN JOURNAL OF CANCER
314
BREAST CANCER-BASIC AND CLINICAL RESEARCH
19
CANCER REPORTS
164
CASE REPORTS IN ONCOLOGY
345
CLINICAL CANCER INVESTIGATION JOURNAL
10
CURRENT BREAST CANCER REPORTS
119
CURRENT CANCER THERAPY REVIEWS
16
CURRENT COLORECTAL CANCER REPORTS
28
INDIAN JOURNAL OF SURGICAL ONCOLOGY
550
INTERNATIONAL CANCER CONFERENCE JOURNAL
211
INTERNATIONAL JOURNAL OF SURGERY-ONCOLOGY
18
JMIR CANCER
217
JOURNAL OF GASTROINTESTINAL CANCER
406
JOURNAL OF KIDNEY CANCER AND VHL
93
JOURNAL OF THE EGYPTIAN NATIONAL CANCER INSTITUTE
138
RARE TUMORS
23
REHABILITATION ONCOLOGY
98
MEMO-MAGAZINE OF EUROPEAN MEDICAL ONCOLOGY
239
MIDDLE EAST JOURNAL OF CANCER
200
NATURE CANCER
434
ONCOLOGY AND THERAPY
155
ONCOLOGY REVIEWS
36
ONKOLOGIJA
39
HORMONES & CANCER / DISCOVER ONCOLOGY
235
FAMILIAL CANCER
180
INTERNATIONAL JOURNAL OF CLINICAL ONCOLOGY
535
JOURNAL OF MAMMARY GLAND BIOLOGY AND NEOPLASIA
99
MEDICAL ONCOLOGY
378
PATHOLOGY & ONCOLOGY RESEARCH
39
PSYCHO-ONCOLOGIE
20
SUPPORTIVE CARE IN CANCER
1152
TARGETED ONCOLOGY
261
SCI Abstract
search
ALL
RECOMMENDED
+
From protocol to practice: long-Term outcomes of single-Fraction stereotactic body radiotherapy for primary non-Small cell lung cancer
Single-fraction stereotactic body radiotherapy (SBRT) is an effective treatment option for patients with non-small cell lu...
Strahlentherapie Und Onkologie
comment
0
thumb_up
0
Modern approaches to radiotherapy in primary cutaneous lymphomas: insights and recommendations from the DEGRO dermato-oncology working group
The growing use of reduced-dose radiotherapy in patients with primary cutaneous lymphoma is a promising developme...
Strahlentherapie Und Onkologie
comment
0
thumb_up
0
Which is the best timing to assess response after chemoradiation in locally advanced cervical cancer (BRILACC)?
The goal is to investigate the best time point for assessing radiological complete response after exclusive chemoradiation...
Strahlentherapie Und Onkologie
comment
0
thumb_up
0
Outcomes of craniospinal radiotherapy in adult medulloblastoma: survival, long-term toxicities, and quality of life assessment with SF-12 and t-Cog
This study evaluated survival outcomes and chronic side effects in adult medulloblastoma patients treated with craniospina...
Strahlentherapie Und Onkologie
comment
0
thumb_up
0
Locally advanced breast cancer: primary ultra-hypofractionated radiotherapy for inoperable or frail patients
Locally advanced breast cancer in frail and inoperable patients often causes tumor-associated pain, bleeding, or discharge...
Strahlentherapie Und Onkologie
comment
0
thumb_up
0
The impact of vitreous humor: a new perspective on radiation-induced cataractogenesis
The precise mechanisms underlying radiation-induced cataractogenesis remain incompletely understood. Increased oxidative s...
Strahlentherapie Und Onkologie
comment
0
thumb_up
0
Long term outcomes of prostate cancer patients aged 55 years or younger treated with definitive radiotherapy: Trod 09-005 study
Evidence on the use of definitive radiotherapy (RT) in younger prostate cancer (PCa) patients is limited, with no national...
Strahlentherapie Und Onkologie
comment
0
thumb_up
0
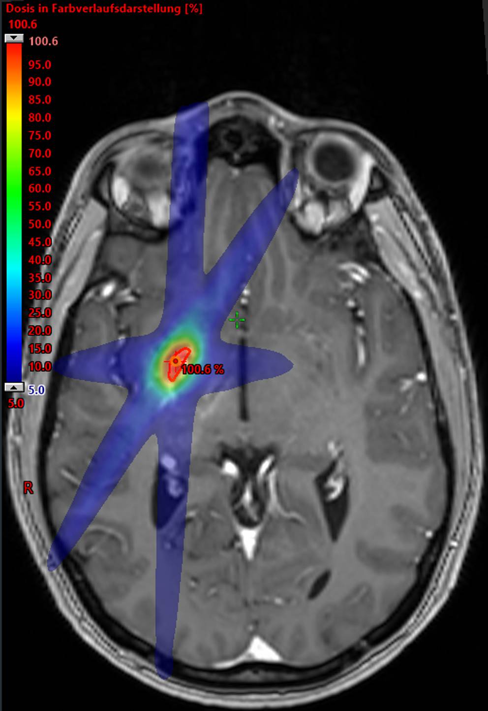
Stereotactic radiosurgery for cerebral arteriovenous malformations
The study we describe focuses on evaluating the effectiveness of linear accelerator (LINAC) stereotactic radiosurgery (SRS...
Strahlentherapie Und Onkologie
comment
0
thumb_up
0
The role of preoperative stereotactic radiotherapy in the management of resectable brain metastases: A systematic review
This systematic review assessed the efficacy and safety of preoperative stereotactic radiotherapy (PreopSRT) in the treatm...
Strahlentherapie Und Onkologie
comment
0
thumb_up
0
Chemo-/radiotherapy-induced cardiomyopathy: roles of mitochondria and endoplasmic reticulum
Chemo-/radiotherapy-induced cardiomyopathy is a clinical challenge for patients with cancer, characterized by det...
Strahlentherapie Und Onkologie
comment
0
thumb_up
0
Dual therapy with nanohydroxyapatite and vitamin E restores irradiated dentin via remineralization and collagen protection
Radiotherapy-induced head and neck cancer harms the structural and biochemical integrity of dentin and causes mineral loss...
Strahlentherapie Und Onkologie
comment
0
thumb_up
0
Hemophagocytic lymphohistiocytosis induced by radio-chemo-immunotherapy: a case report
Hemophagocytic lymphohistiocytosis (HLH) is a life-threatening hyperinflammatory syndrome characterized by supram...
Strahlentherapie Und Onkologie
comment
0
thumb_up
0
Radio(chemo)therapy in anal cancer: evaluation of sex-specific disparities across AJCC stages
This study aimed to investigate sex differences in anal squamous cell carcinomas (ASCC), with a particular focus ...
Strahlentherapie Und Onkologie
comment
0
thumb_up
0
A new GPU-based Monte Carlo code for helium ion therapy
This work presents an effort to extend the capabilities of the previously introduced GPU-based Monte Carlo code ARCHER for...
Strahlentherapie Und Onkologie
comment
0
thumb_up
0
High radiation dose in chemoradiotherapy followed by immunotherapy with durvalumab in patients with stage III non-small cell lung cancer does not increase risk for pneumonitis
Consolidation immunotherapy with immune checkpoint Inhibitor (ICI) Durvalumab is an effective treatment for inoperable sta...
Strahlentherapie Und Onkologie
comment
0
thumb_up
0
FBXL18 increases cell proliferation and reduces cell radiosensitivity in esophageal squamous cell carcinoma
Esophageal squamous cell carcinoma (ESCC) is one of the most common malignant tumors worldwide. In this study, we aimed to...
Strahlentherapie Und Onkologie
comment
0
thumb_up
0
Radiation-induced heart disease in breast cancer patients: a narrative review of epidemiology, risk factors, radiotherapy parameters, and prevention
Breast cancer is the most prevalent cancer in women worldwide; nevertheless, the prognosis is good, with a 5-year...
Strahlentherapie Und Onkologie
comment
0
thumb_up
0
Efficacy and toxicity of stereotactic radiotherapy combined with third-generation EGFR-TKIs and immunotherapy in patients with brain metastases from non-small cell lung cancer
Stereotactic radiotherapy (SRT) is fast gaining attention as a preferred treatment alternative for patients with ...
Strahlentherapie Und Onkologie
comment
0
thumb_up
0
Optimizing treatment for Gleason 10 prostate cancer: radiation dose escalation and Ga-PSMA-PET/CT staging
This study aimed to investigate the effects of dose escalation through focal boost (FB) to intraprostatic lesions (IPLs) a...
Strahlentherapie Und Onkologie
comment
0
thumb_up
0
Tumor volume change at radiation boost planning to estimate the response to chemoradiotherapy in stage III unresectable NSCLC (TORCH): a multicenter retrospective observational study
Progression-free (PFS) and overall survival (OS) in UICC stage III non-small cell lung cancer (NSCLC) after defin...
Strahlentherapie Und Onkologie
comment
0
thumb_up
0
Gender role in radiotherapy: psychosocial differences between males and females during cancer care
Recent studies indicate that gender plays a role in influencing the side effects and outcomes of radiotherapy (RT...
Strahlentherapie Und Onkologie
comment
0
thumb_up
0
Treatment of non-small cell lung cancer: advances following the introduction of PET-CT and IMRT/VMAT
In definitive radiotherapy/radiochemotherapy (RT/RCT) for localized non-small cell lung cancer (NSCLC), the introduction o...
Strahlentherapie Und Onkologie
comment
0
thumb_up
0
Radiation therapy in anal high-grade squamous intraepithelial lesions—a pattern of care analysis in German-speaking countries
High-grade squamous intraepithelial lesions (HSIL) of the anal region are recognized as precursor lesions to squamous cell...
Strahlentherapie Und Onkologie
comment
0
thumb_up
0
Clinical and MRI risk factors predicting post-irradiation carotid blowout syndrome in patients with nasopharyngeal cancer
To explore the clinical and imaging features of nasopharyngeal cancer (NPC) complicated by acute carotid blowout syndrome ...
Strahlentherapie Und Onkologie
comment
0
thumb_up
0
Timing of development of osteoradionecrosis post head and neck radiotherapy: does a safe time interval exist for dental extraction?
Risk factors for developing osteoradionecrosis (ORN) are well known, but less is known about factors influencing the inter...
Strahlentherapie Und Onkologie
comment
0
thumb_up
0
Neoadjuvant chemoradiotherapy in combination with deep regional hyperthermia followed by surgery for rectal cancer: a systematic review and meta-analysis
Combining chemoradiotherapy (CRT) with deep regional hyperthermia (HT) shows promise for enhancing clinical outcomes in se...
Strahlentherapie Und Onkologie
comment
0
thumb_up
0
German radiation oncology’s next generation: a web-based survey of young biologists, medical physicists, and physicians—from problems to solutions
Radiation science is of utmost significance not only due to its growing importance for clinical use, but also in everyday ...
Strahlentherapie Und Onkologie
comment
0
thumb_up
0
Analysis of patients with parotid recurrence after parotid-sparing IMRT for nasopharyngeal carcinoma: case series and review of the literature
Intensity-modulated radiotherapy (IMRT) is the standard treatment approach for nasopharyngeal cancer (NPC). IMRT enables e...
Strahlentherapie Und Onkologie
comment
0
thumb_up
0
Risk factors for treatment-related sensorineural hearing loss and hearing aid use in medulloblastoma patients: an observational cohort study
This study aimed to analyze treatment-related risk factors for sensorineural hearing loss (SNHL) and an indication for hea...
Strahlentherapie Und Onkologie
comment
0
thumb_up
0
Full bladder, empty rectum? Revisiting a paradigm in the era of adaptive radiotherapy
Many patients find it challenging to comply with instructions regarding rectum and bladder filling during pelvic radiother...
Strahlentherapie Und Onkologie
comment
0
thumb_up
0
Load More
Modal title
×
Modal title
×
Share
Login
Global News and Health Forum
Join Now!
Member Login
Remember me
Forgot password?
Or using
Linkedin